
体液外泌体研究技术服务
恩泽康泰基于Exoomics®平台,提供各种临床体液(如血浆/血清、尿液、唾液、脑脊液、卵泡液等)和细胞上清的外泌体分离鉴定、RNA和蛋白代谢等外泌体多组学服务、外泌体qPCR验证服务等;提供从组学发现到靶向验证的完整组学研究服务,助力临床标志物的发现和验证以及疾病发生发展机制的研究。

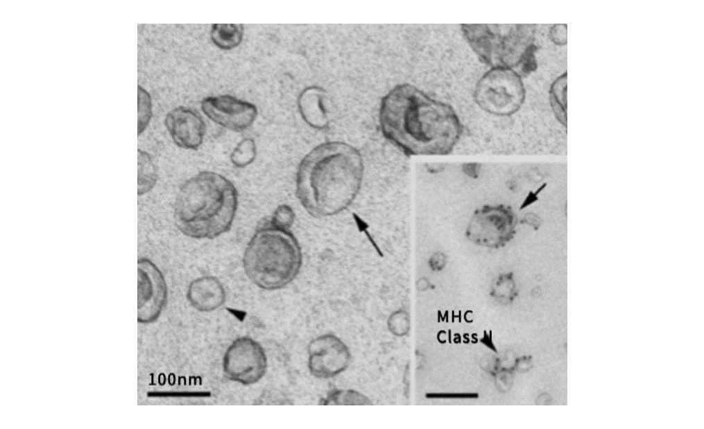
组织外泌体研究技术服务
恩泽康泰拥有自主研发的组织外泌体提取平台,提供各种临床样本以及大、小鼠样本的组织原位外泌体分离和表征服务,并基于Exoomics®平台,提供组织外泌体下游各类组学(RNA、蛋白质、代谢物等)检测、外泌体数据分析及外泌体分子验证等组织外泌体组学全流程服务,赋能组织外泌体助力临床标志物的发现和探索疾病发生发展机制研究。

外泌体新技术/新解决方案
恩泽康泰基于Exoomics®平台,结合外泌体研究前沿技术,提供单囊泡分析等前沿新技术、组织外泌体+单细胞等新解决方案;为客户提供创新性、实用性的解决方案,助力新型标志物的发现,从新视角解析疾病发生机制。