时光荏苒,恩博再次跟大家分享讨论外泌体WB鉴定,恍然3年已过。还记得恩泽康泰火爆全网的外泌体WB鉴定研究指南吗?
从初探到深耕,外泌体研究的每一段旅程,恩博都愿与您温暖相伴、坚定同行,以专业之力,共探生命微观世界的更多可能!
首先,我们来回顾一下MISEV中关于外泌体WB鉴定的建议:
早在MISEV2014中就提出了3阳1阴的要求,至少3种阳性蛋白质标记,包括至少一种跨膜/脂质结合蛋白,一种胞质蛋白;和至少1种阴性蛋白质标记;
MISEV2018在此基础上引入了五分类框架;MISEV2023则是沿用并更新了五分类框架,并提供了每种类别对应的常见marker蛋白,第1类和第2类为胞外囊泡EVs特征性膜蛋白和溶质蛋白,比如说CD9/CD63/CD81和Alix/TSG101/HSP70;
第3类是与EV共分离的污染蛋白,比如血浆中污染蛋白:脂蛋白、白蛋白等;第4类提供了关于EVs可能的细胞内起源的额外信息,可能存在于某些EVs亚型中,但一般内质网蛋白Calnexin、高尔基体蛋白GM130在WB表征时可作为阴性蛋白;
第5类蛋白质在释放后可能与EVs进行结合,是EVs“蛋白冠”的一部分;
第3类和第4类通常属于EVs阴性marker蛋白,第4类中线粒体蛋白可能富含于某些EVs亚群中,这类EVs亚群通常被称为MitoEVs。详见《MISEV 2023解读》专辑。

总之,人源外泌体尽量做3阳1阴,大小鼠的WB尽量有2阳1阴。
您是不是想说,上述理论知晓了,还是做不好WB:
WB步骤较多,包含多个影响实验结果因素,如 :蛋白样品的提取与处理,SDS-PAGE 浓度对蛋白分离效果,转膜条件和一抗抗体选取/特异性和孵育条件等。
1) 到底做几个蛋白的WB检测合适?
2) 外泌体样本在进行WB检测前要裂解吗?如何裂解?
3) 怎么能确定所用抗体是适合外泌体样本(通常浓度低,存在糖基化等修饰)的高质量抗体?难道要根据文献一一采购回来,再一一验证?
4) 每种蛋白WB检测时,上多少量外泌体比较合适?
外泌体WB鉴定解决方案---
优中选优,试剂上新,解您所忧

ExosuperQCTM外泌体WB鉴定试剂盒,针对您的上述问题,逐一进行击破!适用于人源EVs WB检测,涵盖 293F、HuMSC 等细胞来源 EVs,以及血浆 EVs、组织来源 EVs 等多种样本类型,助力研究者高效完成 EVs WB鉴定。
1) 选几个蛋白:不同细胞、不同体液、不同分离方法得到的外泌体,其标志性蛋白表达水平不同,外泌体异质性极强,首先建议尽可能多选一些阳性marker蛋白进行WB检测,直接做4阳1阴!


2) 外泌体要不要裂解:本试剂盒说明书中提供了外泌体样本上样前详细操作教程,不推荐先对外泌体进行裂解,会稀释样本浓度。
3) 无需您费时费力挑选抗体了:本试剂盒中1抗均为兔源,具有与抗原亲和力高、信号更稳定、经过多种外泌体样本验证等优势;配套赠送同样经过多种外泌体样本验证的2抗,2抗您也不用筛选了。
4) 上样量问题:试剂盒说明书中提供不同纯度、不同细胞来源外泌体,检测每种蛋白时外泌体上样量和抗体稀释比例等。您根据自己的外泌体纯度参考我们的demo示例进行上样量和抗体用量调整即可。
5) 除了您遇到的上述问题,我们还为您做了以下考虑:
如何排除实验操作问题:赠送阳性细胞裂解液CL,随样本一起做WB,可用于排查操作流程有无问题,CL的建议上样量均可参考说明书示例进行设置;
loading buffer使用一致性:所有抗体均使用相同的还原性loading buffer即可,简化了样本处理的难度;除了选择4阳1阴套餐外,您也可以采购单个抗体(每个抗体都赠送2抗和阳性细胞裂解液CL)自主DIY!
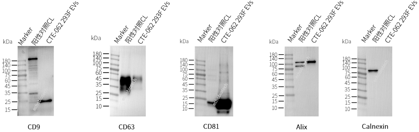
Demo应用展示:
采用2种恩泽康泰ContrExo® 产品:293F外泌体标准品(Cat# CTE-062,密度梯度离心分离,极高纯度)和高浓度HuMSC外泌体(Cat# CTE-052,切向流过滤TFF分离),和试剂盒内赠送的细胞裂解液CL,测试ExosuperQCTM外泌体WB鉴定试剂盒的性能。结果显示2种外泌体均有不错的外泌体WB鉴定结果,4阳1阴。(详细上样量、抗体稀释比例此处不再展示,可查看说明书)


上一篇 : 代理商招募|聚势赋能,共拓百亿外泌体市场新赛道


技术支持:service@echobiotech.com;市场合作:marketing@echobiotech.com
北京市大兴区宝参南街华润生命科学园1号楼108
